1.

宫颈癌现状及治疗
宫颈癌是最常见的女性生殖道恶性肿瘤,发病率在女性恶性肿瘤中居第二位。宫颈原位癌高发年龄为30~35岁,浸润癌为45~55岁,近年来其发病有年轻化的趋势。中国每年新发病例达13.15万,宫颈癌死亡人数每年约5.3万,约占全部女性恶性肿瘤死亡人数的18.4%。近几十年宫颈细胞学筛查的普遍应用,使宫颈癌和癌前病变得以早期发现和治疗,宫颈癌的发病率和死亡率已有明显下降。
宫颈刮片细胞学检查是宫颈癌筛查的主要方法。宫颈刮片细胞学检查巴氏Ⅲ级及Ⅲ级以上、TBS分类为鳞状上皮内瘤变,均应在阴道镜观察下选择可疑癌变区行宫颈活组织检查。宫颈刮片检查多次阳性而宫颈活检阴性者或宫颈活检为宫颈上皮内瘤变需排除浸润癌者可采用利普(LEEP)刀技术切除病变部位。
什么是利普(LEEP)刀技术
LEEP是子宫颈电热环切术(Loop Electrosurgical Excision Procedure)的英文缩写,是近年来用于宫颈疾病临床治疗的一种先进的微创型电外科切除技术。
LEEP技术对宫颈上皮内瘤病变(CIN)阴道上皮恶性病变(VIN)的处理,可以连续切除宫颈癌发病高危区(宫颈鳞柱上皮交界处),有效预防宫颈癌,使用它手术安全、有效,不需住院,并发症少,并可保留完整、连续的标本进行病理检查,明显降低宫颈癌的误诊率和漏诊率。
美国飞尼思Fin-220除烟型利普刀六大产品优势
美国飞尼思Fin-220除烟型利普刀,注册证号为国械注进20183250179。整机原装进口,通过美国FDA,欧盟CE认证。

1.优秀的组织病理学结果
——产品功率平稳准确,切除更顺畅,热损伤更小,电极不易损坏,为病理检测提供一流的组织学标本。

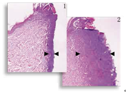
图1,2
减轻热损伤 组织学显示,对比标准的电切尖端切口(图2 ),表观切口(图1)明显热损伤减少

图3,4
伤口愈合改进 观察猪皮皮肤切口的缩影(图3 )与标准的尖端切口(图4 ),经由梅森氏三色染色显示纤维增生明显减少,如胶原沉积的程度和炎症反应。
2.电极设计独特
a.所有环形电极采用高级钨丝电极,高温工作时机械强度更高。独特T型支架设计,更加安全,可灵活调节切割深度,切割更加精确,使用寿命更长。
b.颜色鲜明独特,无需记忆具体型号,便于使用者区分。


c.C-LEZT锥切电极,治疗深度子宫颈疾病,轮廓线形状电极使切除边缘始终清晰,提供98%的组织病理学诊断率;消除横切除组件的热损伤,保存健康的组织,减少复发和/或进展速度;同时还可以进行止血。
d.球形电极,起到良好的凝血作用,高电压带终端波形的电源应用于手术电极上,作用于需要止血的部位,起到良好的凝血作用。

3.有效保护患者安全
负极板可以安全自动监测、控制和报警,能有效防止仪器在异常情况下灼伤患者,安全性更高。 为了防止电外科手术过程中患者皮肤灼伤,全球电外科安全标准要求分散垫下方的温升限制为6°C。热成像测试证明FINESSE + Fin CQM系统可以在发生焊盘部位烧伤之前安全地关闭输出。顶部图像显示完全连接的分散垫的最大温升为2.2°C。当垫偏离患者皮肤横向剥离时,Fin CQM系统将检测到错误状况。在Fin CQM允许的最极端条件下,检测到的最大温升为4.4°C(中心图像)。如果没有Fin CQM(底部),持续的垫分离会导致明显的皮肤发热,这可能会导致严重的患者灼伤。

4.为医生健康保驾护航
高效可调节吸烟器,三级过滤技术( HEPA高效颗粒空气预过滤+活性炭过滤+ULPA(超低压渗透空气)颗粒),可过滤99.99%以上小到0.1微米的颗粒,有效吸除有害微生物的烟雾,为医生的操作提供一个干净安全的工作环境。
手术烟雾的危害:
多项学术论文研究表明,手术烟雾中常见的成份包括: 有害的化学成份、活性病毒、活性细胞、非活性颗粒、可诱导突变的物质等,会对人体造成极大的伤害。
5.功能齐全,尺寸小巧
具有5种工作模式,满足妇科使用的日常需求,操作简单;吸烟器与主机为一体,占用的空间更小,便于携带,门诊即可进行手术。
6.操作方便
界面简单易懂,主机和吸烟器能通过手控装置或脚踏板同步启动,使医生手术时无须分心仪器的操作。
生产商
犹他医疗公司是一家美国上市医疗器械公司,专注于女性及婴儿健康,集研发、制造和销售为一体。自1978年成立以来,将患者获得最佳长期疗效作为研发制造产品的标准,产品受到全球100多个国家的医疗保健专业人士的认可;同时,公司也一直致力于在全球范围内拓展其产品的业务范围,并与300多个国际经销商建立了合作关系。目前全球许多国家都设有代表处,并可以直接销售给澳大利亚、加拿大、法国、爱尔兰和英国的终端用户。据统计,2016年犹他公司净销售额的50%来自国际客户。
中国总代理
北京华康普美科技有限公司成立于2008年,深耕妇科领域数十年,先后曾代理数个进口利普刀与阴道镜品牌。2018年起,华康普美成为美国飞尼思除烟型利普刀中国总代理,做利普刀和阴道镜,我们是专业的!
市场宣传
作为2019年的重点项目,公司先后参加了陕西,湖南,四川,河南,湖北,河北,安徽等地方性展会,受到许多客户的青睐。同时公司也积极参与了阴道镜宫颈疾病方面的学术会议,在4月27日结束的全国宫颈阴道疾病诊治规范化培训暨妇产科模拟医学培训(上海站),飞尼思除烟型利普刀作为教学操作机器,完美的手术效果获得了许多老师的一致好评。
5月份,华康普美还将赴深圳参加第五届全国阴道镜与宫颈病理学(CSCCP)大会以及上海第81届中国国际医疗器械CMEF春季博览会(展位号H7.1 G12,G14),欢迎广大客户莅临指导。
扶持机制
正式授权与产品培训;
专业学术宣传支持;
优质售后服务保障。


找产品
招代理商
找工作
查数据




